Asian Journal of Plastic and Reconstructive Surgery Official Journal of SLAPRAS and SLAAMSGerminating Fresh Ideas
  • Home
  • About the journal
  • Instructions for Authors
  • Volume 1
    • 2024 Issue 01
    • 2025 Issue 02
  • Legal Disclaimer

Hibernoma Masquerading as a Conventional Lipoma: A Rare Diagnosis Unveiled by Histopathology

17 Nov 2025
Read Full Article

Successful Staged Macrocephaly Reduction Surgery in SriLanka

17 Nov 2025
Read Full Article

A Unique Presentation of Radial Polydactyly Beyond the Wassel Classification

17 Nov 2025
Read Full Article

Comparative Accuracy and Clinical Utility of Point-of-Care Hemoglobin Analysis Using in Pediatric Craniosynostosis Surgery

17 Nov 2025
Read Full Article

Non-Invasive Nail Plate Clip Traction for Intra-Articular Thumb Interphalangeal Fracture with Extensor Tendon Injury

17 Nov 2025
Read Full Article

Scalp Metastasis from Triple-Negative Breast Cancer in a BRCA1-Positive Young Female

17 Nov 2025
Read Full Article
Current Issue

Asian Journal of Plastic And Reconstructive Surgery - Volume 1

ISSN: 3084-8547
Online ISSN: 3084-8547
Frequency: 4 issues / year

Other Articles

Successful Salvage of an Anterolateral Thigh Free Flap in a Septic Patient Under Noradrenaline Support

17 Nov 2025

Symptomatic Accessory Nipple in an Adult Female – A Biopsy Depth Consideration

17 Nov 2025

Surgical Correction of Tuberous Breast Deformity: Refining Technique for Optimal Aesthetic Outcomes

17 Nov 2025

Managing HIV in Burn Patients in Low to Middle-Income Countries

17 Nov 2025

Large epidermal cyst in the ischiorectal fossa: A rare cause for a perineal lump

03 Dec 2024

Post Operative Monitoring In Microsurgery: Comparing Glucose Measurement With Clinical Parameters.

03 Dec 2024

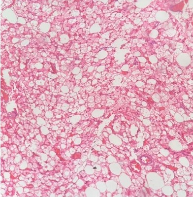
Image of the Month

Related Article : Successful Staged Macrocephaly Reduction Surgery in SriLanka
More Image Information​​​​​​​​​​​​​​​
  • Home
  • About the Journal
© 2026 Asian Journal of Plastic and Reconstructive Surgery. All Rights Reserved |
Design and Development by Redfluence